Tag: haploid
-

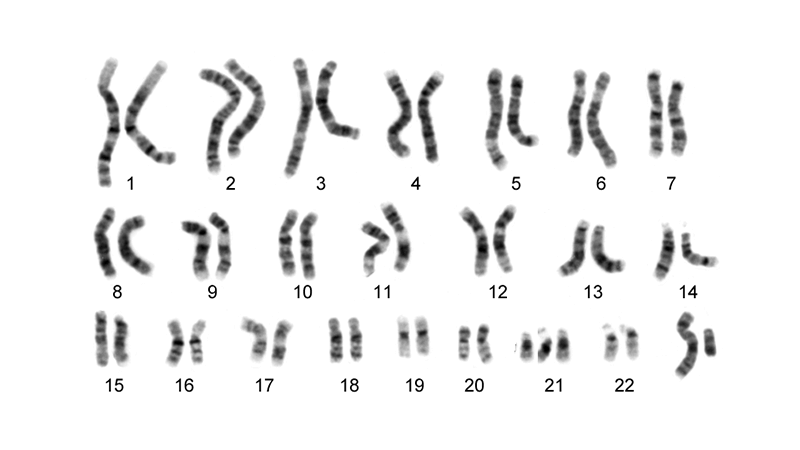
Karyotype Analysis and Chromosomes
Are students learning about chromosomes? Here’s a collection of activities that can help students learn how to analyze karyotypes and diagnose disorders.
-

Meiosis Worksheet
Reinforce concepts related to meiosis and sexual reproduction. Students compare terms such as diploid and haploid, and label an image.
-

Reinforcement: Chromosomes
Helpful review on chromosomes which focuses on terms such as diploid and haploid, mitosis and meiosis, and zygote versus gamete. Students also practice chromosome math using chickens as a model, which have 78 chromosomes in body cells. Worksheet is intended as a review for basic level biology students.

