[ Start Page | White Fish Page | Root Tip Page ]

Click on each image to enlarge.
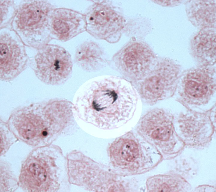
4. For each image, sketch the cell that is highlighted and identify the stage the cell is in. (If you need a quick refresher on the stages, go to http://www.cellsalive.com/mitosis.htm )